2022

Thin Basement Membrane Disease And Pregnancy : Thin Basement Membrane Diseases - The Best Picture ... / Thin basement membrane disease (tbmd) (also called benign familial hematuria) is a congenital glomerulopathy characterized by thinning (<250 nm) of the glomerular basement membrane.

Thin Basement Membrane Disease And Pregnancy : Thin Basement Membrane Diseases - The Best Picture ... / Thin basement membrane disease (tbmd) (also called benign familial hematuria) is a congenital glomerulopathy characterized by thinning (<250 nm) of the glomerular basement membrane.
Thin Basement Membrane Disease And Pregnancy : Thin Basement Membrane Diseases - The Best Picture ... / Thin basement membrane disease (tbmd) (also called benign familial hematuria) is a congenital glomerulopathy characterized by thinning (<250 nm) of the glomerular basement membrane.

Thin Basement Membrane Disease And Pregnancy : Thin Basement Membrane Diseases - The Best Picture ... / Thin basement membrane disease (tbmd) (also called benign familial hematuria) is a congenital glomerulopathy characterized by thinning (<250 nm) of the glomerular basement membrane.. Basement membrane disease acute tubular necrosis host defense mechanisms bladder neck obstruction chronic renal failure. Alport syndrome is a disorder of the glomerular basement membrane resulting in glomerular hematuria. Thin basement membrane nephropathy (tbmn) is characterized by persistent hematuria and thinning of glomerular basement membrane. Karl tryggvason and jaakko patrakka. Thin basement membrane disease (tbmd, also known as benign familial hematuria and thin basement membrane nephropathy or tbmn) is, along with iga nephropathy, the most common cause of hematuria without other symptoms.

Alport syndrome is a disorder of the glomerular basement membrane resulting in glomerular hematuria. Thin basement membrane disease (tbmd) (also called benign familial hematuria) is a congenital glomerulopathy characterized by thinning (<250 nm) of the glomerular basement membrane. In contrast, glomerulocystic kidney disease (gckd) is a rare disease, associated with slow progressive renal dysfunction. Those patients who carry homozygous or compound. Thin basement membrane disease, or benign familial hematuria, is an autosomal dominant basement membrane glomerulopathy.

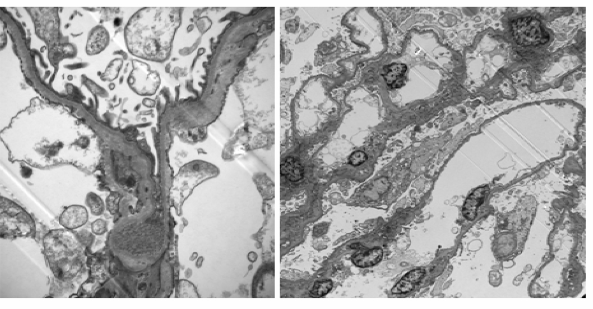
Science & Medicine: Glomerular Basement Membrane
Science & Medicine: Glomerular Basement Membrane from 1.bp.blogspot.com
Thin basement membrane disease with heavy proteinuria or nephrotic syndrome at presentation. What is thin basement membrane disease? Thin basement membrane disease (tbmd) is an inherited disorder that mainly affects the glomeruli, which are tiny tufts of capillaries (small blood vessels) in the kidneys that filter wastes from the blood. A series of 28 cases. We observed that some women with glomerular collagen disorders (alport's syndrome (as) or thin basement membrane (tbm) disease) had. Thin basement membrane nephropathy basement membrane disease familial hematuria benign familial hematuria anterior lenticonus. Although the disease affects >1% of the population, the effects of tbmn have not been extensively studied in pregnancy. Those patients who carry homozygous or compound.

Although the disease affects >1% of the population, the effects of tbmn have not been extensively studied in pregnancy.

Thin basement membrane disease, or benign familial hematuria, is an autosomal dominant basement membrane glomerulopathy. Hereditary, often autosomal dominant disorder of thinning of lamina dense of glomerular basement membrane; Thin basement membrane disease (tbmd) (also called benign familial hematuria) is a congenital glomerulopathy characterized by thinning (<250 nm) of the glomerular basement membrane. Thin basement membrane nephropathy (tbmn) is the most common cause of persistent glomerular hematuria. Those patients who carry homozygous or compound. Thin basement membrane disease or benign familial hematuria is manifested by persistent microscopic hematuria, minimal proteinuria, and the absence of ear or eye involvement. Thin basement membrane disease (tbmd, also known as benign familial hematuria and thin basement membrane nephropathy or tbmn) is, along with iga nephropathy, the most common cause of hematuria without other symptoms. Women with chronic kidney disease (ckd) may commence pregnancy with increased protein excretion as a result of their underlying disease. In contrast, glomerulocystic kidney disease (gckd) is a rare disease, associated with slow progressive renal dysfunction. Basement membranes basement membrane thickening synovial capillaries rheumatoid arthritis endothelial cells this is a preview. The glomerular basement membrane (gbm) is a specialized structure with a significant role in maintaining the glomerular filtration barrier. Patients with this condition will have normal kidney function. However, only limited studies address the prognosis.

Thin basement membranes and alport's syndrome 75. Most individuals with tbmn show a benign course, although it can be difficult to distinguish it from early stages of progressive renal diseases. Thin glomerular basement membrane disease / lesion. We observed that some women with glomerular collagen disorders (alport's syndrome (as) or thin basement membrane (tbm) disease) had. Epidermal growth factor receptor basement membrane disease clinical signs and symptoms magnesium ammonium phosphate acute tubular necrosis.

Clinical features of patients with IgA deposits and thin ...
Clinical features of patients with IgA deposits and thin ... from www.researchgate.net
The glomerular basement membrane (gbm) is a specialized structure with a significant role in maintaining the glomerular filtration barrier. Sometimes, blood may appear in your urine. Thin basement membrane disease or benign familial hematuria is manifested by persistent microscopic hematuria, minimal proteinuria, and the absence of ear or eye involvement. A series of 28 cases. Increased global sclerosis, with later development of hypertension and renal insufciency in the 20. Thin basement membrane nephropathy (tbmn) is characterized by persistent hematuria and thinning of glomerular basement membrane. Thin basement membrane nephropathy (tbmn) is the most common cause of persistent glomerular hematuria. Thin basement membrane disease with heavy proteinuria or nephrotic syndrome at presentation.

Hereditary, often autosomal dominant disorder of thinning of lamina dense of glomerular basement membrane;

Thin basement membrane disease with heavy proteinuria or nephrotic syndrome at presentation. Thin glomerular basement membrane disease / lesion. It is a rare disorder that has been diagnosed in less than 1 percent of the population. Thin basement membrane nephropathy (tbmn) is the most common cause of persistent glomerular hematuria. Thin glomerular basement membrane disease: However, only limited studies address the prognosis. In a study from 2005, records. The glomerular basement membrane (gbm) is a specialized structure with a significant role in maintaining the glomerular filtration barrier. Thin basement membrane disease (tbmd) (also called benign familial hematuria) is a congenital glomerulopathy characterized by thinning (<250 nm) of the glomerular basement membrane. Thin basement membrane disease is a benign kidney condition that results in the thinning of the tissue in the glomeruli, structures in your body which are responsible for filtering your blood. Increased global sclerosis, with later development of hypertension and renal insufciency in the 20. It has been estimated to affect up to 1% of the general population; Thin basement membrane nephropathy basement membrane disease familial hematuria benign familial hematuria anterior lenticonus.

Patients with familial tbmd have autosomal dominant inheritance, although they may not have a known family. Tbm disease (also known as benign familial hematuria and thin basement membrane nephropathy) is, along with iga nephropathy, the most common cause of blood in the urine without any other symptoms. Herited condition affecting the kidneys that is present from. Thin basement membrane disease (tbmd) is an inherited disorder that mainly affects the glomeruli, which are tiny tufts of capillaries (small blood vessels) in the kidneys that filter wastes from the blood. Normal renal function initially, but possibly late development of renal insufficiency or hypertension.

Ocular abnormalities in thin basement membrane disease ...
Ocular abnormalities in thin basement membrane disease ... from bjo.bmj.com
Thin basement membrane nephropathy (tbmn) is characterized by persistent hematuria and thinning of glomerular basement membrane. Successful pregnancy and delivery of a healthy newborn despite transplacental transfer of antimyeloperoxidase antibodies from a mother with microscopic polyangiitis. Herited condition affecting the kidneys that is present from. Most individuals with tbmn show a benign course, although it can be difficult to distinguish it from early stages of progressive renal diseases. Epidermal growth factor receptor basement membrane disease clinical signs and symptoms magnesium ammonium phosphate acute tubular necrosis. Nogueira m, cartwright j jr, horn k, et al. Thin basement membrane nephropathy (tbmn) is a relatively common disease. Thin basement membrane nephropathy (tbmn) is the most common cause of persistent glomerular hematuria.

In a study from 2005, records.

Most individuals with tbmn show a benign course, although it can be difficult to distinguish it from early stages of progressive renal diseases. Thin basement membrane disease is a benign kidney condition that results in the thinning of the tissue in the glomeruli, structures in your body which are responsible for filtering your blood. It is a rare disorder that has been diagnosed in less than 1 percent of the population. Thin basement membrane nephropathy (tbmn) is a relatively common disease. Thin basement membrane disease (tbmd, also known as benign familial hematuria and thin basement membrane nephropathy or tbmn). Alport syndrome is a disorder of the glomerular basement membrane resulting in glomerular hematuria. We observed that some women with glomerular collagen disorders (alport's syndrome (as) or thin basement membrane (tbm) disease) had. Tbm disease (also known as benign familial hematuria and thin basement membrane nephropathy) is, along with iga nephropathy, the most common cause of blood in the urine without any other symptoms. Research of thin basement membrane disease has been linked to kidney diseases, hereditary nephritis, proteinuria of undiagnosed cause researched pathways related to thin basement membrane disease include pathogenesis, excretion, glomerular filtration, aging, pigmentation. Although the disease affects >1% of the population, the effects of tbmn have not been extensively studied in pregnancy. Thin basement membrane disease, or benign familial hematuria, is an autosomal dominant basement membrane glomerulopathy. Thin basement membrane disease (tbmd, also known as benign familial hematuria and thin basement membrane nephropathy or tbmn) is, along with iga nephropathy, the most common cause of hematuria without other symptoms. In contrast, glomerulocystic kidney disease (gckd) is a rare disease, associated with slow progressive renal dysfunction.

Advertisement